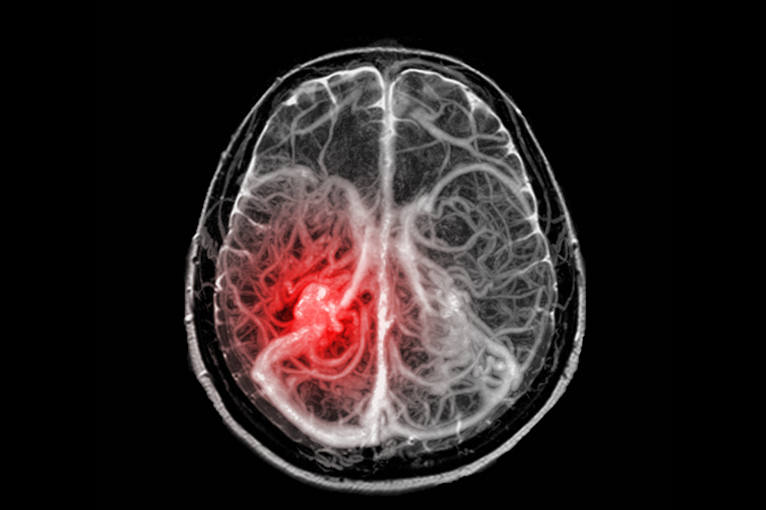
No solo el estilo de vida y los hábitos y rutinas pueden aumentar el riesgo de sufrir un accidente cerebrovascular, que sucede cuando se interrumpe el suministro de sangre al cerebro, y daña su tejido a raíz de la falta de nutrientes y oxígeno. Además de estos y otros factores que podemos modificar, como la hipertensión, el tabaquismo, la dieta y la inactividad física, existen los no modificables, que hay que tener en cuenta.
La Organización Mundial de la Salud advierte que, cada año, 15 millones de personas en todo el mundo sufren un accidente cerebrovascular. De ellas, 5 millones fallecen y otros 5 millones quedan con discapacidad permanente. La Asociación Estadounidense de Accidentes Cerebrovasculares (ASA) afirma que esta afección es la quinta causa de muerte, y una de las principales causas de discapacidad en el país.
Edad, sexo y raza
Una revisión sistemática de estudios al respecto realizada en el 2023 determinó que entre los factores no modificables que más contribuyen al desarrollo de enfermedades cerebrales de origen vascular está la edad. Hay mayor propensión en adultos mayores, ya que los vasos sanguíneos son más rígidos (arteriosclerosis) debido al proceso natural de degeneración, lo que dificulta el flujo sanguíneo y aumenta la probabilidad de que se formen coágulos que bloqueen una arterial cerebral. La probabilidad "se duplica" aproximadamente cada 10 años, después de los 55, advierten los Centros para el Control de Enfermedades (CDC, por sus siglas en inglés) de EE.UU.

Por otro lado, la ASA afirma que el sexo biológico contribuye a las diferencias en los factores de riesgo, siendo las mujeres las que enfrentan una "carga desproporcionada de mortalidad y discapacidad" por esta enfermedad. A lo largo de la vida, la propensión en ellas es mayor que en los hombres, con un riesgo de 1 entre 4 después de los 25 años. Además, el embarazo y el uso de píldoras anticonceptivas están asociados.
La raza también hace parte de esa lista. Según la ASA, las personas de raza negra presentan un riesgo mucho mayor y una mayor tasa de mortalidad por ictus que cualquier otro grupo racial. Aunque las razones no están del todo claras, se estima que son más propensas a la hipertensión arterial, el sobrepeso, la obesidad, la diabetes y el colesterol alto. Incluso, se cree que el racismo que enfrenta la población afrodescendiente "provoca discriminación crónica, estrés y depresión" que, a largo plazo, se traduce en "daños duraderos y acumulativos en el cuerpo y el cerebro".
"El ataque o derrame cerebral es la tercera causa de muerte entre las mujeres hispanas y la cuarta entre los hombres hispanos", añade la asociación.
La genética: inherente e importante
Existen trastornos genéticos que pueden causar accidentes cerebrovasculares, como por ejemplo la anemia de células falciformes y las cardiopatías congénitas, además de influir otras afecciones relacionadas, como la hipertensión. Sin olvidar los antecedentes familiares.
Una investigación del Instituto Karolinska de Suecia encontró que los hermanos de quienes han sufrido un derrame tienen aproximadamente un 60 % de riesgo de sufrirlo también (40 % para los medio hermanos), y aproximadamente a la misma edad. Al respecto, los CDC señalan que esto puede ser, entre otros, debido a que suelen compartir entornos comunes y otros factores.
Además, las probabilidades aumentan "aún más" cuando la herencia se combina con un estilo de vida poco saludable, como fumar y una dieta poco saludable.

El tipo de sangre puede influir
Si bien se conocen factores genéticos que pueden ser más modificables de lo que se creía anteriormente, en particular aquellos con interacciones ambientales, hay otro dentro de la composición biológica única que no, y que también parece estar vinculado a esta patología: el tipo de sangre.
Un análisis de 48 estudios genéticos en el 2022, como parte de una investigación publicada en la revista Neurology, que incluyó a cerca de 17.000 pacientes con ictus y casi 600.000 sin ictus, reveló una clara relación entre el gen responsable del grupo sanguíneo A y una "mayor propensión genética a la trombosis venosa" (16 %), que influye en la aparición temprana de accidentes cerebrovasculares, es decir, antes de los 60 años.
Al mismo tiempo, se determinó que los participantes con grupo sanguíneo O (el tipo de sangre más común) tienen menor riesgo (12 %) y aquellos con B o AB se encuentran en un punto intermedio. Steven Kittner, autor principal del estudio y neurólogo vascular de la Universidad de Maryland (EE.UU.), señala que, aunque no se sabe por qué el tipo A confiere un mayor riesgo, probablemente tenga algo que ver el papel de los "factores de coagulación sanguínea " en el "desarrollo de coágulos sanguíneos".
Cabe destacar que muchos factores de riesgo están bajo nuestro control, y eso es una buena noticia porque sugiere que esta condición es en gran medida prevenible. No obstante, conocer aquellos fuera de nuestro control son una ventaja extra, ya que permiten una evaluación de la predisposición individual que facilita la toma de medidas preventivas adecuadas.
Si te ha gustado, ¡compártelo con tus amigos!









